Hiperplasia endometrial simple con complejo focal y sin atipia, en una paciente de 23 años de edad. A propósito de un caso y revisión de la literatura
DOI:
https://doi.org/10.22517/25395203.12651Palabras clave:
Hiperplasia endometrial, atipia, adolescenteResumen
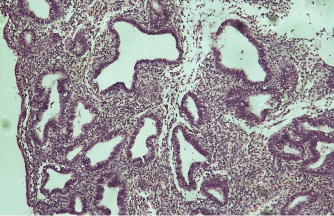
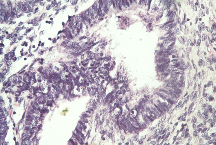
Se presenta el caso de una paciente de 23 años de edad, previamente sana, G1P0A1, con cuadro clínico de hemorragia uterina anormal, a quien se le realizó ecografía transvaginal que reportó embarazo molar, sin embargo tras realizar la medición sérica de B-HCG, fue de 0.00 mUI/ml, por lo que requirió realización de legrado y biopsia para establecer diagnóstico histológico. El resultado evidenció hiperplasia simple, con complejo focal y sin atipia. Se destaca la importancia de la comunicación de este caso, debido a que a esta edad, la presentación de esta patología es infrecuente. Se hace una revisión de los artículos publicados en los últimos 10 años en las bases de datos Medline vía PubMed, y en LILACS en español, inglés y francés. Se tuvo como referencia además textos clásicos.
La hiperplasia endometrial simple en pacientes menores de 30 años es poco frecuente, se debe tener en cuenta la presencia de atipias en la histología pues de ser positivo, es mayor el riesgo de transformación maligna.
Descargas
Descargas
-
Vistas(Views): 1543
- PDF Descargas(Downloads): 667
Archivos adicionales
Publicado
Cómo citar
Número
Sección
Licencia
Cesión de derechos y tratamiento de datos
La aceptación de un artículo para su publicación en la Revista Médica de Risaralda implica la cesión de los derechos de impresión y reproducción, por cualquier forma y medio, del autor a favor de Facultad de Ciencias de la Salud de la Universidad Tecnológica de Pereira. 1995-2018. Todos los derechos reservados ®
por parte de los autores para obtener el permiso de reproducción de sus contribuciones. La reproducción total o parcial de los trabajos aparecidos en la Revista Médica de Risaralda, debe hacerse citando la procedencia, en caso contrario, se viola los derechos reservados.
Asimismo, se entiende que los conceptos y opiniones expresados en cada trabajo son de la exclusiva responsabilidad del autor, sin responsabilizarse ni solidarizarse, necesariamente, ni la redacción, ni la editorial.
Es responsabilidad de los autores poder proporcionar a los lectores interesados copias de los datos en bruto, manuales de procedimiento, puntuaciones y, en general, material experimental relevante.
Asimismo, la Dirección de la revista garantiza el adecuado tratamiento de los datos de carácter personal