Síndrome de Hamman y anorexia nerviosa: Presentación de un caso y revisión de la literatura
DOI:
https://doi.org/10.22517/25395203.13991Keywords:
Neumomediastino, anorexia nerviosa, enfisema subcutáneo, dolor torácico, Hamman, desnutrición proteica.Abstract
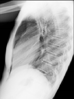
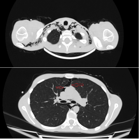
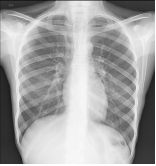
Presentamos el caso de una adolescente de sexo femenino quien cumple criterios clínicos de anorexia nerviosa y presenta dolor torácico, documentándose pneumomediastino espontáneo (PE). El PE se define como presencia de gas libre en el mediastino en ausencia de causa precipitante.
La incidencia es muy baja pero heterogénea. Se presenta principalmente en la población pediátrica en especial durante crisis asmáticas; es mayor en el sexo masculino. La anorexia es una causa inusual y han sido descritos únicamente 20 casos en la literatura hasta el momento.
Clínicamente, el síntoma principal es el dolor torácico, seguido de disnea y a la exploración física es importante reconocer signos específicos, de los cuales el más frecuente es el enfisema subcutáneo, así como el signo de Hamman considerado patognomónico.
Esta es una patología con un curso generalmente benigno y su manejo en la mayoría de los casos es conservador, aunque sigue siendo un tema controversial.
Downloads
Downloads
-
Vistas(Views): 717
- PDF (Español (España)) Descargas(Downloads): 356
Additional Files
Published
How to Cite
Issue
Section
License
Cesión de derechos y tratamiento de datos
La aceptación de un artículo para su publicación en la Revista Médica de Risaralda implica la cesión de los derechos de impresión y reproducción, por cualquier forma y medio, del autor a favor de Facultad de Ciencias de la Salud de la Universidad Tecnológica de Pereira. 1995-2018. Todos los derechos reservados ®
por parte de los autores para obtener el permiso de reproducción de sus contribuciones. La reproducción total o parcial de los trabajos aparecidos en la Revista Médica de Risaralda, debe hacerse citando la procedencia, en caso contrario, se viola los derechos reservados.
Asimismo, se entiende que los conceptos y opiniones expresados en cada trabajo son de la exclusiva responsabilidad del autor, sin responsabilizarse ni solidarizarse, necesariamente, ni la redacción, ni la editorial.
Es responsabilidad de los autores poder proporcionar a los lectores interesados copias de los datos en bruto, manuales de procedimiento, puntuaciones y, en general, material experimental relevante.
Asimismo, la Dirección de la revista garantiza el adecuado tratamiento de los datos de carácter personal