Obstrucción intestinal secundaria a diverticulitis de Meckel por enterolito: descripción de un caso


Autores/as

  • Ricardo Corrales Pinzón Hospital Universitario de Salamanca, Salamanca, España
  • Luis Fernando Grisales Loaiza Universidad tecnologica de pereira
  • Cecilia Santos Mónton Hospital Universitario de Salamanca, Salamanca, España
  • Teresa González de la Huebra Labrador Hospital Universitario de Salamanca, Salamanca, España

DOI:

https://doi.org/10.22517/25395203.8509

Resumen

El divertículo de Meckel es la anomalía congénita más frecuente del tracto gastrointestinal, es un divertículo verdadero, ya que contiene todas las capas de la pared intestinal. Suele ser asintomático o se detecta de manera incidental en las pruebas de imágenes diagnósticas. Tiene un riesgo de complicación del 2-40%, siendo la más frecuentes la hemorragia, la obstrucción intestinal y la diverticulitis.

Se describe el caso de un paciente masculino de 52 años de edad, que consultó al servicio de urgencias del Hospital Universitario de Salamanca (España) por un cuadro de dolor abdominal, clínica infecciosa y  de obstrucción intestinal.

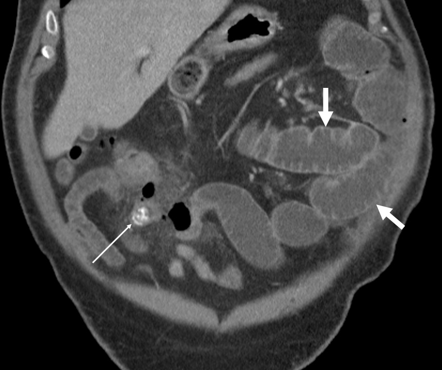
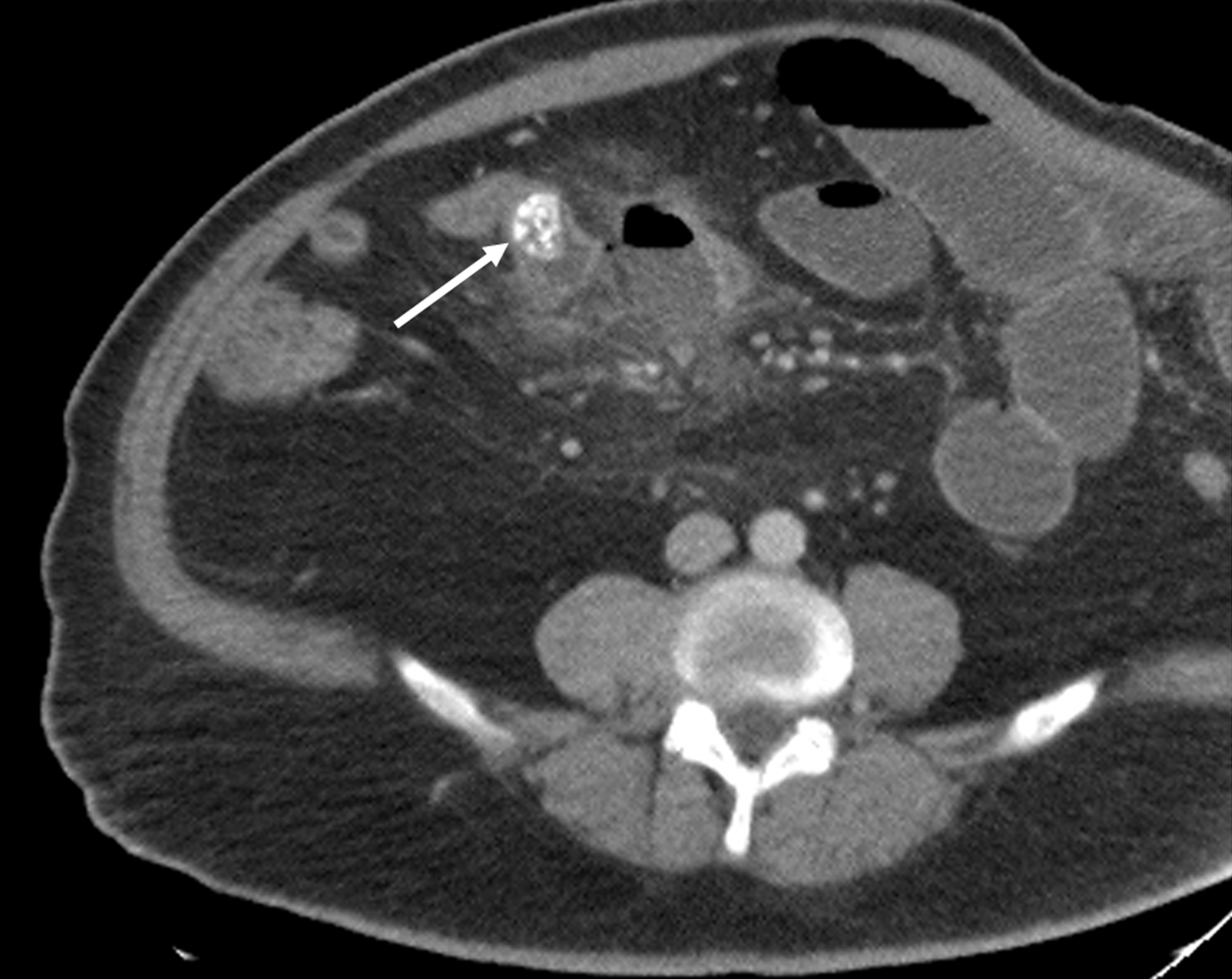
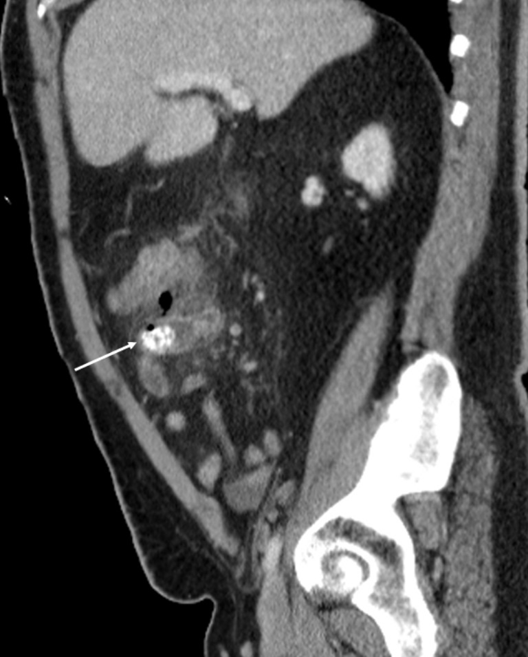
Mediante pruebas de imagen se diagnosticó una obstrucción intestinal secundaria a diverticulitis de Meckel por un enterolito, se realizó intervención quirúrgica y se confirmaron los hallazgos radiológicos descritos.

Descargas

Los datos de descargas todavía no están disponibles.

Biografía del autor/a

Ricardo Corrales Pinzón, Hospital Universitario de Salamanca, Salamanca, España

Médico Residente de cuarto año especialización en Radiología e imágenes diagnósticas

Luis Fernando Grisales Loaiza, Universidad tecnologica de pereira

pereira- risaralda, residente de radiologia

Cecilia Santos Mónton, Hospital Universitario de Salamanca, Salamanca, España

Médico Residente de tercer año especialización en Radiología e imágenes diagnósticas

Teresa González de la Huebra Labrador, Hospital Universitario de Salamanca, Salamanca, España

Médico Residente de tercer año especialización en Radiología e imágenes diagnósticas

Descargas

Publicado

2013-09-18

Cómo citar

Corrales Pinzón, R., Grisales Loaiza, L. F., Santos Mónton, C., & González de la Huebra Labrador, T. (2013). Obstrucción intestinal secundaria a diverticulitis de Meckel por enterolito: descripción de un caso. Revista Médica De Risaralda, 20(1). https://doi.org/10.22517/25395203.8509

Número

Sección

Reporte de caso