Diente cónico: presentación de dos casos
DOI:
https://doi.org/10.22517/25395203.8707Resumen
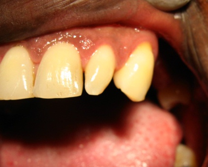
Las anomalías dentales son un grupo de alteraciones morfológicas, que se pueden expresar en la corona o en la raíz dental; aparecen durante el desarrollo de los órganos dentales, se ha establecido que tienen un componente genético y molecular importante. También se han planteado influencias medioambientales, traumáticas y microbiológicas. Las anomalías morfológicas dentarias son comunes, y se presentan con una incidencia de 74,7% según Freer (1998). Los dientes cónicos, en clavija o reducidos tienen una incidencia menor y muestran mayor incidencia en dentición permanente, así como en los incisivos laterales superiores. El mencionado defecto va a ser origen de alteraciones en la oclusión, la longitud de arco, compromisos estéticos que van a afectar la autoestima del paciente. El propósito de este trabajo es presentar dos casos de dientes cónicos, uno en dentición permanente, otro en dentición temporal relacionándolos con el marco teórico encontrado en la literatura sobre las influencias genéticas que juegan un papel importante en la aparición de la mencionada anomalía, aunque no se pudo realizar el estudio genético que se quisiera a causa limitaciones económicas.
Descargas
Descargas
-
Vistas(Views): 4543
- PDF Descargas(Downloads): 1308
Archivos adicionales
Publicado
Cómo citar
Número
Sección
Licencia
Cesión de derechos y tratamiento de datos
La aceptación de un artículo para su publicación en la Revista Médica de Risaralda implica la cesión de los derechos de impresión y reproducción, por cualquier forma y medio, del autor a favor de Facultad de Ciencias de la Salud de la Universidad Tecnológica de Pereira. 1995-2018. Todos los derechos reservados ®
por parte de los autores para obtener el permiso de reproducción de sus contribuciones. La reproducción total o parcial de los trabajos aparecidos en la Revista Médica de Risaralda, debe hacerse citando la procedencia, en caso contrario, se viola los derechos reservados.
Asimismo, se entiende que los conceptos y opiniones expresados en cada trabajo son de la exclusiva responsabilidad del autor, sin responsabilizarse ni solidarizarse, necesariamente, ni la redacción, ni la editorial.
Es responsabilidad de los autores poder proporcionar a los lectores interesados copias de los datos en bruto, manuales de procedimiento, puntuaciones y, en general, material experimental relevante.
Asimismo, la Dirección de la revista garantiza el adecuado tratamiento de los datos de carácter personal